Página Inicial
Cursos
Currículo
Publicações
Casos Clínicos
Contato
Casos Clínicos
Enxerto Ósseo Intrabucal e Biomateriais
por
Dr. Renato Victor de Oliveira
Publicado em 25/09/2014
Cistos e Tumores
por
Dr. Renato Victor de Oliveira
Publicado em 08/08/2014
Dentes inclusos
por
Dr. Renato Victor de Oliveira
Publicado em 08/08/2014
Reconstruçao de Maxila Atrofica
por
Dr. Renato Victor de Oliveira
Publicado em 08/08/2014
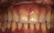
Multidisciplinar
por
Dr. Renato Victor de Oliveira
Publicado em 08/08/2014
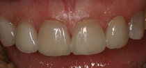
Prótese metalocerâmica sobre implante
por
Dr. Renato Victor de Oliveira
Publicado em 08/08/2014
Facetas Laminadas
por
Dr. Renato Victor de Oliveira
Publicado em 19/12/2013
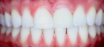
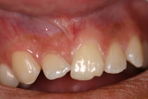
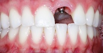
Implante Unitário em Região Estética
por
Dr. Renato Victor de Oliveira
Publicado em 18/11/2013
Cirurgia Ortognática
por
Dr. Renato Victor de Oliveira
Publicado em 29/07/2011
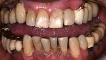
Casos complexos
por
Dr. Renato Victor de Oliveira
Publicado em 26/11/2010
Fones: (44) 3225-1560 - Rua Silva Jardim, 30 - CEP 87013-010
Maringá - PR